Fertilization! That’s what I hope is happening right now…
Only a couple hundred sperm (out of tens of millions of them) will make it to the egg, and the lone Super Sperm will hopefully succeed in fertilizing it. 
If the egg fertilizes, over the next day or so, the sperm’s nucleus will merge with the egg’s as they combine min
e and Will’s genetic material. If the sperm is carrying a Y chromosome, our future baby will be a boy; if it’s an X chromosome, our future baby will be a girl.
The fertilized egg then has to travel down my fallopian tube to my uterus, where it (hopefully) takes up shop for the next 9 months. It’s kinda freaky if you think about it. At the stage called Blastocyst, the embryo hatches out of it’s shell (zona pellucida) and “burrows” itself into the uterine lining (this process is called implantation for anyone who’s interested). Anyways, that’s in a couple days…. so for now fingers crossed that Mr. Super Sperm finds his egg and fights his way in.
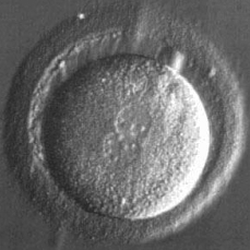
To the right is a picture of a fertilized embryo (the day after it has been fertilized). No
tice the two circles in the middle of it, those are the pronuclei and the tell us that the sperm has succeeded in its duty of fertilizing this egg. One of the circles (pronuclei) contains the chromosomes from the Dad, and the other from the Mom.
